Módulo de histología resulta ganador del VI concurso de fotografía digital PUCV
A principios de este mes se dieron a conocer los ganadores del VI Concurso de Fotografía Digital "Un Clic al Conocimiento 2018", organizado por la Vicerrectoría de Investigación y Estudios Avanzados (VRIEA) de la Pontificia Universidad Católica de Valparaíso.
El objetivo del ya tradicional concurso, es mostrar y valorar las distintas actividades que desarrollan los investigadores de nuestra Casa de Estudios a través de fotografías que capturen momentos o vivencias que forman parte del proceso investigativo que se encuentran llevando a cabo.
El premio al primer lugar recayó sobre la fotografía titulada "Mandala de la vida", presentada por la académica de la Escuela de Agronomía, Patricia Peñaloza junto con el asistente de investigación del laboratorio de semillas y estudiante de pregrado, Samuel Valdebenito.
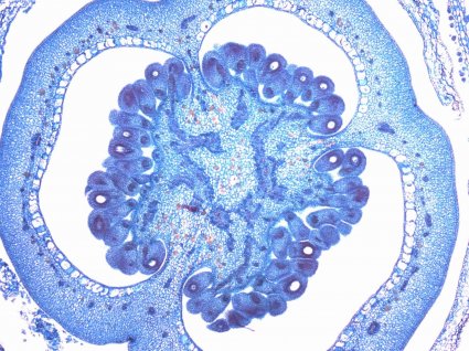
La fotografía ganadora fue tomada por Samuel en noviembre del 2017 y corresponde a un corte histológico de flores de pimentón en el que se observa principalmente la placenta y los óvulos al interior del ovario. La captura forma parte de la tesis de magíster de la alumna Tamara Fernández, cuya investigación busca asociar el estado de desarrollo de los óvulos con su capacidad para ser fecundados, particularmente en situaciones de incompatibilidad.
"Samuel realiza un trabajo de alta calidad en el módulo de histología, así que cuando vimos el afiche del concurso inmediatamente nos interesó participar. Teníamos mucho material para compartir con la comunidad, por lo que Samuel hizo una propuesta de varias fotografías y entre ambos elegimos finalmente cuáles presentar", indicó la profesora Peñaloza.
Para Samuel, el hecho de ganar el concurso les dio la posibilidad de mostrar el trabajo que realizan en el módulo, que en abril de este año cumplió un año en funcionamiento. "Estudiantes de doctorado y magíster han consultado por nuestros servicios. Hasta el momento hemos trabajado en ocho tesis de magíster de Agronomía y 2 tesis de estudiantes de la Pontificia Universidad Católica de Chile, poco a poco vamos avanzando e implementando nuevas cosas en el laboratorio".
Cabe destacar que la académica y su asistente se encuentran actualmente participando en el concurso de fotografía "Imaging perspectives" organizado por BioTek Instruments, empresa dedicada a la venta de insumos de laboratorio, quienes entregarán un premio en efectivo de $1.000 USD al primer lugar, además de exhibir la fotografía ganadora en el calendario 2019 de la compañía.
La decisión de presentarse nuevamente a un concurso nace de la oportunidad de financiar nuevos equipos de laboratorio. Si bien el equipamiento básico del módulo se encuentra completo, la adquisición de instrumentos con los que no cuentan hoy les permitiría llevar a cabo mejores investigaciones.
A modo de cierre, Samuel comenta que "personalmente, me gustaría que los académicos estén al tanto del servicio que prestamos. Las profesoras de la Escuela, Gabriela Verdugo y Mónica Castro, han trabajado con nosotros pero hago el llamado a todos quienes necesiten ayuda del módulo de histología, para que se acerquen y conversen con nosotros".
